Una delle principali cause di perdita dei denti è rappresentata dalle parodontiti. A oggi, le soluzioni riabilitative di un soggetto edentulo o parzialmente edentulo sono diverse. Le protesi supportate da impianti costituiscono una delle strategie più utilizzate ed ormai consolidate. Il grande vantaggio è definito dall’eccellente performance sia in termini funzionali che estetici di questa soluzione.
Nel corso degli anni, il miglioramento dei materiali e delle tecniche ha consentito via via di ottenere risultati sempre più soddisfacenti. Alla base del successo della terapia ci sono sicuramente le metodiche di riabilitazione protesica.
Il principio su cui si fonda l’implantologia è basato sull’integrazione dell’impianto nell’osso. La vite in titanio, infatti, va incontro ad un processo biologico definito osteointegrazione mediante la quale si assiste a un contatto della superficie dell’impianto e l’osso. L’impianto osteointegrato consente l’applicazione di una protesi fissa con successo.
Vediamo ora di rispondere alle più comuni domande sui vari tipi di protesi a sostegno implantare.
Le protesi sugli impianti sono tutte uguali?
Distinguiamo principalmente protesi avvitate e protesi cementate.
- Nelle protesi avvitate, la corona viene fissata all’impianto mediante una vite; è naturalmente presente un foro di passaggio previsto nel manufatto protesico. È possibile chiudere questo foro con materiali resinosi. Durante le fasi provvisorie è da preferire un materiale di chiusura più morbido e più semplice da rimuovere. Invece, nelle fasi definitive è preferibile un materiale più duro dotato di maggior tenuta e più estetico.
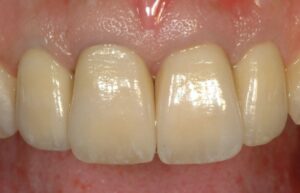
- Nelle protesi cementate abbiamo un moncone che viene avvitato all’impianto mentre, la corona viene cementata sopra.

Esempio di protesi cementata
Un capitolo a parte meritano le soluzioni mobili ancorate ad impianti. In questo caso gli impianti non consentono una riabilitazione fissa, ma vengono utilizzati come mezzo di stabilizzazione della protesi mobile sovrastante. I vantaggi di questa soluzione riabilitativa sono il minor numero di impianti necessari (2 per la mandibola, 4 per il mascellare superiore) e la ridotta invasività.
Qual è la soluzione più utilizzata e perché?
Allo stato attuale la soluzione più utilizzata è la protesi avvitata. Il grande vantaggio è dato dalla possibilità di accedere alla vite e poter rimuovere più facilmente il manufatto mantenendo la completa reversibilità. Questo influenza la possibilità di riparare la corona in caso di complicanze meccaniche e consente un controllo e una disinfezione più accurata. Questo aspetto è fondamentale se consideriamo che:
- Le complicanze meccaniche della protesi a supporto implantare sono statisticamente tre volte superiori alle complicanze meccaniche della protesi a sostegno dentale;
- Le complicanze biologiche perimplantari (mucosite e perimplantite) sono molto frequenti e difficili da controllare.
Perché è così importante la protesi a sostegno implantare?
Uno dei principali parametri per il mantenimento dello stato di salute e la stabilità ossea perimplantare è rappresentato dal controllo di placca.
Questo aspetto è molto spesso legato alla capacità del paziente di controllare la placca. Per questa ragione, una protesi facilmente detergibile è un requisito fondamentale.
La corretta pianificazione implantare e il posizionamento dell’impianto ideale sono importanti al pari di una riabilitazione protesica di qualità. Questa si esprime con il ripristino adeguato della funzione e dell’estetica e con la mantenibilità nel tempo. Spesso è importante correggere la protesi, rendendo più agevoli le manovre di igiene domiciliare.
Conclusioni
L’implantologia rappresenta una delle soluzioni riabilitative più indicate in caso di edentulia. La corretta esecuzione di tutte le tappe terapeutiche è alla base della riuscita e della durata del piano cura sviluppato. Uno degli aspetti più importanti è dato dalla qualità della soluzione protesica. Le protesi a supporto implantare possono essere di vario tipo e, ad oggi, la soluzione avvitata è la più utilizzata. Questa, mantenendo le caratteristiche di reversibilità offre vantaggi nel controllo e nella gestione delle complicanze.
Leggi l’articolo in pillole
Leggi anche
- Cosa sono le edentulie?
- Cos’è la Parodontite
- Impianti dentali pro e contro
- Chi può mettere gli impianti?

