La corona clinica è la parte del dente che è visibile al di fuori della gengiva. In alcune circostanze può essere necessario aumentare (allungare) questa porzione, attraverso alcune procedure, tra cui l’allungamento della corona clinica.
Le possibili procedure
In alcuni casi, il dente può essere allungato mediante tecniche di estrusione ortodontica, ossia l’utilizzo di un apparecchio ortodontico per spostare il dente al di fuori della gengiva.
In altre circostanze è necessario ricorrere all’allungamento di corona clinica, la procedura chirurgica parodontale che ha lo scopo di aumentare la lunghezza della corona. Probabilmente la procedura parodontale chirurgica più comunemente eseguita.
In cosa consiste l’allungamento di corona clinica?
Da un punto di vista tecnico, la procedura comporta:
- una gengivectomia, ossia la rimozione, laddove necessario, di una parte del tessuto gengivale che ricopre il dente;
- un posizionamento apicale del lembo, se possibile, quindi lo spostamento tessuto gengivale in direzione opposta rispetto alle superfici masticatorie dei denti;
- un assottigliamento dei tessuti gengivali a livello del palato;
- una piccola resezione ossea (rimozione di una piccola porzione), eseguita in funzione delle specifiche necessità che il caso presenta;
- delle suture che stabilizzino il lembo nella posizione desiderata.
Allungamento corona clinica: per quali patologie?
Il motivo per cui tale procedura è così comune è che, contrariamente a quanto si potrebbe pensare, l’allungamento di corona dentale non è impiegato solo nella cura di pazienti con parodontite.
Viene infatti applicata anche in altre situazioni.
Trattamento di una lesione cariosa, o di una frattura dentale, localizzata a livello sotto gengivale
Quando una carie è coperta, totalmente o parzialmente, dai tessuti gengivali, il corretto restauro del tessuto dentale cariato è spesso reso impossibile proprio dalla presenza della gengiva.
Inoltre, i restauri conservativi che si estendono troppo in profondità al di sotto della gengiva possono, in determinate circostanze, favorire la comparsa di una lesione infiammatoria parodontale, dovuta alla violazione dell’ampiezza biologica.
L’ampiezza biologica (o apparato d’attacco sopracrestale) è l’insieme dei tessuti gengivali che sono aderenti alla radice degli elementi dentali. Un restauro che interrompa questa adesione non sarebbe ben tollerato, e tenderebbe quindi a provocare un’infiammazione cronica, che si manifesta sottoforma di frequente sanguinamento gengivale.
Pertanto, in tutti questi casi, si rende necessario l’allungamento di corona clinica allo scopo di isolare correttamente la carie e di posizionare il margine del nostro restauro in posizione sopra, o iuxta, gengivale.
Necessità di aumentare la ritenzione dei monconi in caso di trattamento protesico
I restauri protesici fissi (corone) su denti naturali, che vengono realizzati per motivi sia di ordine estetico che riabilitativo, necessitano che l’elemento dentale sia di una lunghezza sufficiente, che varia a seconda dello specifico dente in oggetto, affinché la corona abbia una stabilità e una ritenzione tali da garantirne la stabilità nel tempo.
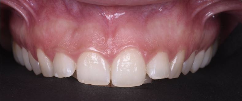
Trattamento dell’eruzione passiva alterata o “sorriso gengivale”
L’eccessiva esposizione gengivale durante il sorriso è una condizione piuttosto frequente che può compromettere l’estetica del sorriso.
Questa condizione è spesso associata all’eruzione passiva alterata.
Normalmente quando gli elementi dentali terminano l’eruzione, i tessuti gengivali si ritirano in direzione apicale, fino a dare ai denti una lunghezza “corretta”. Nel caso in cui questo processo non si completi correttamente, vi è la persistenza di una quantità eccessiva di tessuto molle sulla superficie dentale. Questa condizione fa sì che il paziente, quando sorride, presenti elementi dentali molto corti, e mostri una quantità eccessiva di gengiva.
Un allungamento della corona clinica è, in questo caso, consigliato allo scopo di migliorare l’estetica del sorriso.
allungamento di corona clinica per migliorare l’estetica del sorriso
Leggi l’articolo in pillole
Leggi anche



